All issues

A Novel Molecular Identification Technique for Lasiodiplodia species Associated with Avocado Diseases in Taiwan
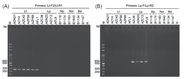
Fig. 1. Polymerase chain reaction (PCR) amplified products with species-specific primer pairs (A) Lt-F2/Lt-R1 and (B) Lp-F/Lp-R2. M: 100-bp DNA ladder (Protech Technology Enterprise, Taipei, Taiwan). N: negative control. Abbreviations: Lt: <i>Lasiodiplodia theobromae</i>. Lp: <i>Lasiodiplodia pseudotheobromae</i>. Np: <i>Neofusicoccum parvum</i>. Nm: <i>Neofusicoccum mangiferae</i>. Bd: <i>Botryosphaeria dothidea</i>.
Fig. 1. Polymerase chain reaction (PCR) amplified products with species-specific primer pairs (A) Lt-F2/Lt-R1 and (B) Lp-F/Lp-R2. M: 100-bp DNA ladder (Protech Technology Enterprise, Taipei, Taiwan). N: negative control. Abbreviations: Lt: Lasiodiplodia theobromae. Lp: Lasiodiplodia pseudotheobromae. Np: Neofusicoccum parvum. Nm: Neofusicoccum mangiferae. Bd: Botryosphaeria dothidea.

Author:Yu-Ping Liang* and Hui-Fang Ni

Abstract:

Lasiodiplodia theobromae and L. pseudotheobromae are widely distributed plant pathogens in tropical and subtropical regions, causing numerous diseases, but they are not easily identified and distinguished by traditional morphological techniques. In this study, we developed two species-specific primer pairs (Lt-F2/Lt-R1 and Lp-F/Lp-R2) based on sequence differences in translational elongation factor 1-α (TEF1-α) among Lasiodiplodia species. Polymerase chain reaction (PCR) amplification from genomic DNA verified that Lt-F2/Lt-R1 and Lp-F/Lp-R2 were specific for L. theobromae and L. pseudotheobromae, respectively; no amplification was observed from nontarget species. Using these primers to amplify DNA from 54 Lasiodiplodia isolates from avocado (Persea americana) in Taiwan, we successfully identified isolates of L. theobromae and L. pseudotheobromae. Meanwhile, we also detected the presence of other unknown Lasiodiplodia spp. Phylogenetic analyses using the DNA sequences of TEF1-α, β-tubulin 2 (TUB2), and RNA polymerase subunit II (RPB2) from these unknown species showed that L. thailandica, L. hormozganensis, and other unidentified Lasiodiplodia species also occurred on diseased avocado fruits, branches, or pedicels in Taiwan; their pathogenicity to avocado was confirmed on fruits. L. thailandica was reported as a pathogen of avocado for the first time, and the specific primers designed in this study provide a valuable tool for identifying the two Lasiodiplodia species.

Key words:Lasiodiplodia hormozganensis, Lasiodiplodia thailandica, Lasiodiplodia theobromae, Lasiodiplodia pseudotheobromae, Species-specific primers

Download:Download PDF PDF Links

  • Back
  • Top
  • Back
  • Top